Falls Church VA Smile Transformations
Many patients are apprehensive about dental treatment because they do not know what to expect during treatment. Below are examples of before and after photos to display expected results from various services we offer here at Peyser Dentistry. For information on a certain procedure, or to schedule an appointment- call your Falls Church dentists today at (803) 893-3333 or Click Here !
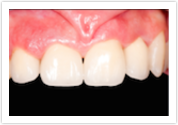
Applied Procedure: Emax Veneer
Applied Procedure: Hybrid Denture
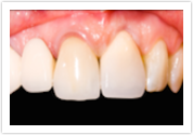
Applied Procedure: Zirconia Crowns

Before Photo After Photo
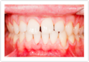
Applied Procedure: Zirconia Crowns

Before Photo After Photo
Applied Procedures: Zirconia Crowns, Dental Bridges

Before Photo After Photo
Applied Procedure: Dental Bridges

Before Photo After Photo
Applied Procedure: KOR Teeth Whitening

Before Photo After Photo
Applied Procedure: Dental Veneers

Before Photo After Photo

Before Photo After Photo







